Quem Somos
Marcas
Nossas marcas
Potenza
Tokuyama
Nic Tone
SR
About You
Visualizar todas as marcas
Potenza
Tokuyama
Nic Tone
SR
About You
Encontre sua dental
Conteúdos
Eventos
Blog
Downloads
Contato
Trabalhe conosco
Buscar
Home
Blog
Todas
#form
Todas
Todas
Devo trocar as restaurações de amálgama?
04 outubro 2022
Todas
Laminados cerâmicos x Laminados em resina composta
04 outubro 2022
Todas
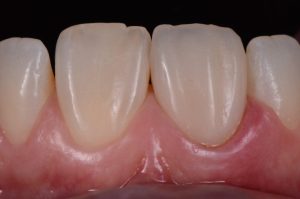
Facetas diretas em resina composta: o desafio dos incisivos centrais jovens.
04 outubro 2022
Todas
Chocolate e a saúde bucal
04 outubro 2022
Todas
Clareamento dental caseiro: peróxido de hidrogênio ou carbamida?
04 outubro 2022
Todas
A importância da fotopolimerização das resinas compostas
04 outubro 2022
Todas
Neuromarketing na Odontologia
04 outubro 2022
Todas
Faceta direta em dente escurecido: estratificando de forma inteligente
04 outubro 2022
Todas
Faceta direta em dente escurecido
04 outubro 2022
Assine nossa NewsLetter
Digite seu nome
Digite seu e-mail
Assinar
1
2
3
4
…
8
9
10